





A blight, when referring to land, describes the barren wasteland of an area stripped of its ability to produce life. Visions of once plentiful fields laying fallow produces a profound sadness for the loss of resources and the waste of productivity.
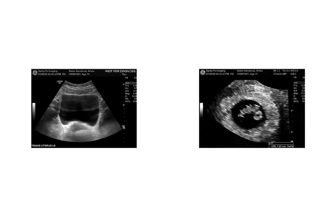
When referring to the female body a blighted ovum speaks to a type of miscarriage most often occurring within the first trimester. In clinical terms, an anembryonic pregnancy occurs when a fertilized egg attaches itself to the uterine wall, but the embryo does not develop to produce a viable life. A pregnancy sac forms and grows but not the embryo itself, no fetal pole (heartbeat) is produced. Now blighted, the womb is a barren land not fit to sustain life, a stark comparison first coined by male doctors in the mid 1800’s.
The dated colloquial terminology used evokes a type of blame accompanied by shame that is peculiar when in association with the female body.
To say a women’s body is blighted and there by incapable to bring about life is completely myopic and damaging. A term applied to the body is consequently applied to the self. I am what my diagnosis says I am.
A miscarriage once does not mean infertility, yet the association of a barren wasteland feels permanent and irreversible. If the body is seen as land, then we must also acknowledge that land once fallow can provide life again.
This book is a reminder of the hope for life, the physical reality for my body, and the lived experiences of grieving two consecutive miscarriages.
As there was no life, no heartbeat, I do not mourn the loss of life but the temporary halting of expectations; an image of myself large in the mirror, the ache of my body after labor in my home, seeing a newborn being held by those I love. These fantasies are gone, for now.